Groundbreaking research on IVF gives hopes to couples

A new groundbreaking research is giving hope to parents who want to conceive through IVF.
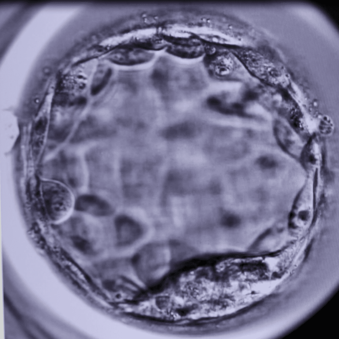
The research conducted by Melbourne IVF found out lactic acid is more than biological waste, and it can help the embryo to attach to the endometrium, giving more chances of success on an IVF.
Image: Image of a blastocyst in the human body. Image supplied
Produced By: Eduardo Jordan
Featured In Story: David Gardner – Scientific Director of Melbourne IVF and Distinguised Professor at the University of Melbourne
First aired on The Wire, Friday 3 December 2021
